QUY TRÌNH LÀM RĂNG SỨ AN TOÀN & KHÔNG
Để đảm bảo về tính an toàn và hiệu quả khi thực hiện bọc răng sứ, bạn nên tìm hiểu trước về quy trình bọc răng toàn sứ. Vậy quy trình này được diễn ra như thế nào. Hãy cùng Tulip theo dõi bài viết sau nhé!
NHỮNG LƯU Ý TRƯỚC VÀ SAU KHI BỌC RĂNG SỨ.
Bọc răng sứ là một giải pháp hiệu quả dành cho những người có răng thưa, răng mọc lệch, răng sứt hay bị mất một răng. Trước và sau khi bọc răng sứ thì cần lưu ý những gì đây là vấn đề hầu như ai muốn bọc răng sứ cũng đang thắc mắc. Và để hiểu hơn về vấn đề này, mời các bạn cùng Nha khoa Tulip theo dõi bài viết dưới đây nhé!
9 BÍ QUYẾT CHĂM SÓC RĂNG MIỆNG ĐÚNG
Sức khỏe răng miệng phản ánh các tình trạng của răng, nướu và khoang miệng. Chăm sóc sức khỏe răng miệng đúng cách sẽ ngăn ngừa các bệnh về nướu, giúp bảo vệ sức khoẻ và mang lại sự tự tin.
SỰ KHÁC BIỆT GIỮA DÁN SỨ VENEER VÀ BỌC RĂNG SỨ
Biết được sự khác biệt giữa veneer và răng bọc sứ sẽ giúp mọi người đưa ra quyết định phù hợp với nhu cầu và tình trạng răng miệng của mình.<p><strong><span style="color:#e74c3c;"><span style="font-size:24px;"><span style="font-family:Times New Roman,Times,serif;">1. Tổng quan chung về dán sứ veneer và bọc răng sứ</span></span></span></strong></p>
<p><strong><span style="font-size:22px;"><span style="color:#2ecc71;"><span style="font-family:Times New Roman,Times,serif;">1.1 Dán sứ veneer là gì?</span></span></span></strong></p>
<p><span style="font-size:20px;"><span style="font-family:Times New Roman,Times,serif;">Dán sứ veneer là 1 trong những phương pháp thẩm mỹ nha khoa HOT nhất hiện nay. Nhằm khắc phục một số khuyết điểm trên răng như tình trạng <span style="color:#3498db;"><strong>nhiễm màu tetra</strong>,</span> răng thưa nhẹ, mẻ,…kiến tạo nụ cười rạng rỡ hơn. Với phương pháp này, cùi răng gốc tự nhiên của bạn sẽ được bảo vệ 1 cách tối đa nhất. Đó là bởi tỷ lệ mài men răng tối đa chỉ ừ 0.2-0.3mm, không hề ảnh hưởng đến ngà răng phía trong.</span></span></p>
<p><span style="color:#2ecc71;"><strong><span style="font-size:22px;"><span style="font-family:Times New Roman,Times,serif;">1.2 Bọc răng sứ là gì?</span></span></strong></span></p>
<p><span style="font-size:20px;"><span style="font-family:Times New Roman,Times,serif;">Bọc răng sứ<em> </em>chính là kỹ thuật mài cùi răng thật và lắp một thân răng sứ bên trên, vừa để bảo vệ răng thật, vừa giúp<em> </em>phục hình chiếc răng trông tự nhiên nhất cả về hình dáng lẫn màu sắc. <span style="color:#9b59b6;"><strong>Với phương pháp bọc răng sứ, hàm răng của bạn được bảo tồn đến mức tối đa.</strong></span></span></span></p>
<p><span style="font-size:20px;"><span style="font-family:Times New Roman,Times,serif;"><img alt="Tổng quan về dán răng sứ veneer" src="https://nhakhoanhantam.com/stmresource/files/rang-su-tham-my/101-tong-quan-ve-dan-rang-su-veneer-3.jpg" style="width: 900px;" /></span></span></p>
<p><span style="font-size:26px;"><span style="color:#e74c3c;"><strong><span style="font-family:Times New Roman,Times,serif;">2. Sự khác biệt giữa dán sứ veneer và bọc răng sứ</span></strong></span></span></p>
<p><span style="font-size:20px;"><span style="font-family:Times New Roman,Times,serif;">Bọc răng sứ và dán sứ Veneer đều là phương pháp phục hình răng thẩm mỹ, có thể che lại lớp men răng bị ố vàng, bị xỉn màu. Răng sau khi được phục hình sẽ có màu sắc giống như những chiếc răng thật.</span></span></p>
<p><span style="color:#6633ff;"><strong><span style="font-size:22px;"><span style="font-family:Times New Roman,Times,serif;">✥</span></span></strong></span><span style="font-size:20px;"><span style="font-family:Times New Roman,Times,serif;"><span style="color:#6633ff;"><strong> Về kĩ thuật: </strong></span></span></span></p>
<p><span style="font-size:20px;"><span style="font-family:Times New Roman,Times,serif;"><a href="https://nhakhoatulip.com/boc-rang-su-la-gi-nhung-truong-hop-nen-boc-rang-su"><span style="color:#ff3366;"><strong>Bọc răng sứ:</strong></span></a> phải mài đi một phần rất đáng kể diện tích răng, chỉ còn một phần cùi nhỏ để liên kết với sản phẩm thay thế bên trên. Việc này ảnh hưởng rất xấu đến sức khỏe răng miệng sau này, thậm chí mất tủy răng nên bạn cần cẩn trọng khi đưa ra quyết định.</span></span></p>
<p><span style="font-size:20px;"><span style="font-family:Times New Roman,Times,serif;"><a href="https://nhakhoatulip.com/tim-hieu-ve-dan-su-veneer"><span style="color:#ff3366;"><strong>Dán sứ Veneer:</strong></span></a> chỉ cần một lớp rất mỏng từ 0.3 – 0.5 mm trên bề mặt răng, đây chỉ là phần men răng nên sẽ không ảnh hưởng đến các mô bên trong. Vì vậy sức khỏe răng miệng của bạn sẽ không bị ảnh hưởng nhiều, không gây đau đớn hay các chứng tê buốt.</span></span></p>
<p><span style="color:#6633ff;"><span style="font-size:22px;"><span style="font-family:Times New Roman,Times,serif;"><strong>✥</strong></span></span></span><span style="font-size:20px;"><span style="font-family:Times New Roman,Times,serif;"><span style="color:#6633ff;"><strong> Về tuổi thọ:</strong></span></span></span></p>
<p><span style="font-size:20px;"><span style="font-family:Times New Roman,Times,serif;">Phương pháp nào cũng vậy, nếu bạn có một thói quen xấu như <strong><span style="color:#9b59b6;">ăn đồ cứng, hoặc cắn bút, nghiến răng..</span></strong><em><strong>. </strong></em>cho dù bạn có thực hiện bọc răng sứ hay dán sứ Veneer thì một thời gian sử dụng cũng sẽ không còn có tốt như ban đầu. Vì thế để kéo dài tuổi thọ của bọc răng sứ và dán sứ Veneer cần phải lưu ý đến chế độ sinh hoạt hàng ngày.</span></span></p>
<p><span style="font-size:20px;"><span style="font-family:Times New Roman,Times,serif;">Tuổi thọ của mặt dán sứ Veneer nếu được chăm sóc tốt có thể kéo dài lên đến 10 -15 năm. Còn đối với phương pháp bọc răng sứ thì tuổi thọ trung bình <strong><span style="color:#ff6633;">răng sứ có thể lên tới 20 năm hay thậm chí là 30 năm</span></strong> (tùy thuộc vào loại răng sứ thẩm mỹ mà bạn chọn).</span></span></p>
<p><span style="font-size:20px;"><span style="font-family:Times New Roman,Times,serif;">Ngoài ra hai biện pháp này cũng có nhiều điểm khác biệt khác. Bác sĩ sẽ căn cứ vào tình trạng răng của bạn để lựa chọn phương pháp thật sự phù hợp</span></span></p>
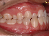
<p><span style="font-size:20px;"><span style="font-family:Times New Roman,Times,serif;"><img alt="Bọc răng sứ và dán sứ veneer nên lựa chọn như thế nào?" src="https://nhakhoatre.com/wp-content/uploads/2020/10/boc-rang-su-va-dan-su-veneer-4.jpg" style="width: 900px;" /></span></span></p>
<p><span style="color:#e74c3c;"><span style="font-size:26px;"><span style="font-family:Times New Roman,Times,serif;"><strong>3. Quy trình dán sứ Veneer tại nha khoa Tulip</strong></span></span></span></p>
<ul>
<li>
<p id="63Buoc-:-Tham-kham-va-kiem-tra-răng-mieng"><span style="font-size:24px;"><span style="color:#3366ff;"><span style="font-family:Times New Roman,Times,serif;"><strong>Bước 1: Thăm khám và kiểm tra răng miệng</strong></span></span></span></p>
</li>
</ul>
<p><span style="font-size:20px;"><span style="font-family:Times New Roman,Times,serif;">Bác sĩ sẽ tiến hành <strong><span style="color:#66cc66;">kiểm tra tổng quát</span> </strong>để đánh giá cấu trúc răng, khớp cắn và đặc điểm khuôn mặt của bệnh nhân. Từ kết quả đánh giá, bác sĩ sẽ tư vấn bệnh nhân nên thực hiện dán sứ Veneer Emax hay khôngz? Có cần phải thực hiện các kỹ thuật bổ trợ khác hay không? Chi phí điều trị như thế nào? ...</span></span></p>
<ul>
<li>
<p id="73Buoc-:-Sat-khuan-va-ve-sinh-rang-miệng"><span style="font-size:24px;"><span style="color:#3366ff;"><span style="font-family:Times New Roman,Times,serif;"><strong>Bước 2: Sát khuẩn và vệ sinh răng miệng</strong></span></span></span></p>
</li>
</ul>
<p><span style="font-size:20px;"><span style="font-family:Times New Roman,Times,serif;">Sau khi bệnh nhân đồng ý thực hiện dán sứ, bác sĩ sẽ tiến hành sát khuẩn và vệ sinh răng miệng. Đây là bước bắt buộc để đảm bảo quá trình điều trị diễn ra an toàn, không viêm nhiễm hoặc lây lan các bệnh lý về răng miệng.</span></span></p>
<ul>
<li>
<p id="83Buoc-:-Mai-rang-và-lay-dấu-mau-hàm"><span style="color:#3366ff;"><span style="font-size:24px;"><span style="font-family:Times New Roman,Times,serif;"><strong>Bước 3: Mài răng và lấy dấu mẫu hàm</strong></span></span></span></p>
</li>
</ul>
<p><span style="font-size:20px;"><span style="font-family:Times New Roman,Times,serif;">Bề mặt răng thật cần dán sứ sẽ được<span style="color:#cc3399;"> <strong>mài một lớp mỏng chỉ từ 0,2 - 0,5mm</strong>.</span> Nên quá trình mài răng hoàn toàn không đau, không ê buốt và bảo tồn răng thật tối đa.</span></span></p>
<p><span style="font-size:20px;"><span style="font-family:Times New Roman,Times,serif;">Sau đó, bác sĩ sẽ tiến hành lấy mẫu hàm bằng công nghệ scan hiện đại, đảm bảo mặt sứ được làm ra chính xác và hoàn hảo.</span></span></p>
<ul>
<li>
<p id="93Buoc-:-Thiet-kế-mat-dan-su-Veneer-Emax"><span style="color:#3366ff;"><span style="font-size:24px;"><span style="font-family:Times New Roman,Times,serif;"><strong>Bước 4: Thiết kế mặt dán sứ Veneer Emax</strong></span></span></span></p>
</li>
</ul>
<p><span style="font-size:20px;"><span style="font-family:Times New Roman,Times,serif;">Mặt dán sứ Veneer Emax sẽ được thiết kế dựa trên kết quả lấy dấu răng, đảm bảo phù hợp với khuôn miệng và nụ cười của bệnh nhân. Bệnh nhân có thể tham gia vào quá trình thiết kế, chọn lựa màu sắc, kích thước hoặc hình dáng của mặt dán sứ.</span></span></p>
<ul>
<li>
<p id="103Buoc-:-Dan-mat-dán-su-Veneer-Emax-vao-rang"><span style="font-size:24px;"><span style="color:#3366ff;"><span style="font-family:Times New Roman,Times,serif;"><strong>Bước 5: Dán mặt dán sứ Veneer Emax vào răng</strong></span></span></span></p>
</li>
</ul>
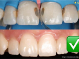
<p><span style="font-size:20px;"><span style="font-family:Times New Roman,Times,serif;">Mặt dán sứ sau khi thiết kế sẽ được dán cố định vào răng bằng nhựa dán và ánh sáng laser.</span></span></p>
<p><span style="font-size:20px;"><span style="font-family:Times New Roman,Times,serif;"><img alt="" src="https://nhakhoatulip.com/upload/elfinder/V%C3%95%20DI%E1%BB%84M%20PH%C6%AF%C6%A0NG.jpg" style="width: 900px;" /></span></span></p>
<p><span style="font-size:20px;"><span style="font-family:Times New Roman,Times,serif;"> Hy vọng chia sẻ trên đây của chúng tôi sẽ mang lại hữu ích cho bạn và giúp bạn đưa ra những quyết định cho mình! Nếu còn vấn đề gì thắc mắc thì đừng ngại, hãy liên hệ với chúng tôi hoặc đến trực tiếp địa chỉ phòng khám <strong><a href="http://nhakhoatulip.com/">Nha Khoa Tulip</a></strong> để Bác sĩ được thăm khám và tư vấn miễn phí nhé.</span></span></p>
<p><span style="font-size:20px;"><span style="font-family:Times New Roman,Times,serif;"><strong>NHA KHOA TULIP</strong></span></span></p>
<ul>
<li>
<p><span style="font-size:20px;"><span style="font-family:Times New Roman,Times,serif;"><strong>Hotline : 093 177 6766 - 028 6296 2606</strong></span></span></p>
</li>
<li>
<p><span style="font-size:20px;"><span style="font-family:Times New Roman,Times,serif;"><strong>Địa chỉ : 9/7 Phạm Văn Hai, Phường 1, Q.Tân Bình, Tp.Hồ Chí Minh </strong></span></span></p>
</li>
</ul>
RĂNG BỊ Ê BUỐT SAU KHI BỌC RĂNG SỨ NGUYÊN NHÂN VÀ CÁCH KHẮC
Tình trạng răng bị ê buốt sau khi bọc sứ là vấn đề mà nhiều người hay gặp phải. Vậy nguyên nhân bọc răng sứ bị ê buốt là gì? Cách khắc phụ như thế nào?
KHI NÀO CẦN ĐIỀU TRỊ TỦY
Chữa tủy răng là biện pháp thường được áp dụng để điều trị viêm nhiễm tủy răng. Khi nào cần điều trị tủy răng, quy trình thế nào? Hãy cùng nha khoa Tulip tìm hiểu qua bài viết dưới đây nhé
NHỮNG ĐIỀU CẦN LƯU Ý SAU KHI ĐIỀU TRỊ CƯỜI HỞ LỢI
Điều trị cười hở lợi là thủ thuật di chuyển nướu lợi về gần chân răng hoặc cắt nướu nhằm đem lại nụ cười tự tin cho khách hàng. Vậy sau khi điều trị chúng ta đã chăm sóc răng miệng đúng cách chưa. Bạn hãy cùng nha khoa Tulip giải đáp thắc mắc này nhé!
THỜI ĐIỂM TỐT NHẤT ĐỂ NHỔ RĂNG SỮA CHO BÉ
Nhổ răng sữa cho bé đúng thời điểm, đúng cách sẽ giúp răng vĩnh viễn mọc lên ổn định. Tránh nhổ răng sữa khi chưa lung lay để không dẫn đến tình trạng đau đớn, ám ảnh tâm lý
BỆNH TIỂU ĐƯỜNG CÓ TRỒNG RĂNG IMPLANT ĐƯỢC KHÔNG
Trồng răng Implant là phương pháp phục hình răng mất mang lại hiệu quả tối ưu nhất hiện nay. Tuy nhiên, vẫn có một số bệnh lý được xem là chống chỉ định khi thực hiện kỹ thuật này. Vậy người bị bệnh tiểu đường có cấy ghép Implant được không? Hãy cùng đi tìm câu trả lời chính xác trong bài viết dưới đây!
NHỮNG PHƯƠNG PHÁP TẨY TRẮNG RĂNG PHỔ BIẾN HIỆN NAY
Hiện nay tại các nha khoa dịch vụ tẩy trắng răng đang được ưa chuộng. Vậy tẩy trắng răng là gì? Có những phương pháp nào hãy cũng nha khoa Tulip cùng tìm hiểu qua bài viết sau nhé!








