ĐÃ BỌC RĂNG SỨ CÓ NIỀNG RĂNG ĐƯỢC KHÔNG
Bọc răng sứ có niềng được không sẽ còn tùy vào từng trường hợp của mỗi người, bạn hãy đến nha khoa để được bác sĩ thăm khám và đưa ra hướng điều trị cụ thể
NGUYÊN NHÂN VÀ TÁC HẠI CỦA SÂU RĂNG?
Nguyên nhân cốt yếu dẫn đến việc sâu răng diễn ra là do tình trạng những thực phẩm xuất hiện nhiều trên bề mặt răng tạo môi trường thuận lợi cho các vi khuẩn trong khoang miệng phát triển tấn công men răng gây ra hiện tượng sâu răng.
7 CÁCH TRỊ NHIỆT MIỆNG TẠI NHÀ AN TOÀN VÀ HIỆU QUẢ
Khám phá ngay 7 cách trị nhiệt miệng hiệu quả, an toàn với các nguyên liệu tự nhiên như mật ong, nước muối, trà, dầu dừa và diếp cá. Tham khảo ngay!
BỌC RĂNG SỨ XONG BỊ Ê BUỐT PHẢI LÀM SAO?
Răng bị ê buốt sau khi bọc sứ là tình trạng khá phổ biến. Để hiểu rõ về nguyên nhân và cách khắc phục, bạn có thể tham khảo bài viết sau.
TẨY TRẮNG RĂNG GIỮ ĐƯỢC BAO LÂU?
Tẩy trắng răng bao lâu thì đạt hiệu quả, thời gian tối thiểu là bao nhiêu những thắc mắc thường gặp sẽ được giải đáp ở bài viết này!
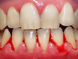
PHẢI LÀM GÌ KHI BỊ CHẢY MÁU CHÂN RĂNG
Chảy máu chân răng là bệnh lý khá phổ biến ở mọi độ tuổi. Nguyên nhân có thể do đánh răng quá mạnh hoặc các bệnh răng miệng khác như viêm nha chu. Nếu chủ quan không điều trị sẽ ảnh hưởng lớn đến sức khỏe răng miệng.
KHI NÀO CẦN BỌC RĂNG SỨ ?
Bọc răng sứ là một trong những phương pháp phục hình răng miệng hàng đầu hiện nay được nhiều bệnh nhân cũng như bác sĩ lựa chọn nhằm khắc phục tình trạng răng miệng cũng như các khuyết điểm. Hãy cùng tham khảo các trường hợp nên bọc sứ.
MẤT RĂNG BAO LÂU THÌ BỊ TIÊU XƯƠNG HÀM ?
Tiêu xương hàm là một trong số các biến chứng thường gặp khi bị mất răng. Làm ảnh hưởng đến vẻ đẹp của khuôn mặt và chức năng ăn nhai. Vậy mất răng bao lâu thì bị tiêu xương hàm, nguyên nhân gây nên tiêu xương hàm. Hãy cùng nha khoa Tulip tham khảo ngay bài viết này nhé
NÊN DÁN SỨ HAY BỌC RĂNG SỨ SẼ TỐT HƠN?
Nên dán răng sứ hay bọc răng sứ khi thực hiện thẩm mỹ răng là vấn đề được nhiều người quan tâm. Tìm hiểu câu trả lời trong bài viết sau.
TRÁM RĂNG THẨM MỸ CÓ BỀN KHÔNG? - NHA KHOA TULIP
Trám răng thẩm mỹ có bền không hay còn phụ thuộc vào những yếu tố nào? Bài viết này sẽ giải thích chi tiết để bạn có thể đánh giá được độ bền khi trám răng.








