KHỚP CẮN HỞ LÀ GÌ? CÁCH ĐIỀU TRỊ KHỚP CẮN HỞ
Khớp cắn hở là tình trạng nhóm răng cửa của 2 hàm không chạm được vào nhau. Vậy nguyên nhân gây khớp cắn hở là gì?Điều trị như thế nào?
BỌC RĂNG SỨ CÓ BỊ MÒN KHÔNG?
Răng sứ có bị mòn không là vấn đề nhiều người quan tâm trước khi thực hiện phương pháp này. Hãy cùng Tulip giải đáp thắc mắc của bạn qua bài viết sau đây nhé.
NÊN CHỌN NIỀNG RĂNG HAY BỌC RĂNG SỨ ĐỂ CẢI THIỆN NỤ CƯỜI
Niềng răng và bọc răng sứ là 2 phương án được nhiều người lựa chọn để cải thiện thẩm mỹ răng miệng. Tuy nhiên, do khác biệt về kỹ thuật thực hiện, nên mỗi phương pháp sẽ phù hợp với từng tình trạng răng khác nhau.
RĂNG TOÀN SỨ LÀ GÌ? RĂNG TOÀN SỨ CÓ MẤY LOẠI?
Bọc răng sứ là thủ thuật nhằm giúp che đi những khuyết điểm về hàm răng của bạn. Giúp răng trắng sáng và khỏe mạnh hơn. Thông thường, đối với phương pháp bọc răng sứ hiện nay. Các bác sĩ sẽ khuyên bạn nên chọn răng sứ toàn sứ để đảm bảo tính thẩm mỹ và ăn nhai tốt nhất. Vậy răng sứ toàn sứ là gì? Có bao nhiêu loại răng toàn sứ?
BỌC RĂNG SỨ BAO LÂU THÌ ĂN UỐNG BÌNH THƯỜNG
Bọc răng sứ bao lâu thì ăn được hay lúc nào ăn uống bình thường được là thắc mắc chung của rất nhiều người vậy hãy cùng Nha khoa Tulip tìm hiểu qua bài viết dưới đây nhé.
NHỮNG ĐIỀU BẠN CẦN BIẾT VỀ TRÁM RĂNG LẤY TỦY
Trám răng lấy tủy là một trong những phương pháp điều trị sâu răng, viêm tủy, giúp bảo tồn răng thật được lâu dài. Tuy nhiên, không phải ai cũng nắm rõ về phương pháp này, sẽ có những ưu điểm và nhược điểm mà bạn nên biết khi thực hiện.
QUÁ TRÌNH SÂU RĂNG DIỄN RA NHƯ THẾ NÀO?
Quá trình sâu răng tiến triển thường diễn ra âm thầm khiến người bệnh dễ chủ quan, giúp vi khuẩn ăn sâu vào trong làm tổn thương tủy.
RĂNG BỊ Ê BUỐT: NGUYÊN NHÂN VÀ CÁCH KHẮC PHỤC
Răng bị ê buốt có thể do các nguyên nhân như ăn thực phẩm có tính axit cao, sử dụng bàn chải cứng, mắc các bệnh lý về răng miệng,... Xem cách khắc phục tại đây!
QUY TRÌNH BỌC RĂNG SỨ TẠI NHA KHOA TULIP
Làm răng sứ là một hình thức cải thiện, khắc phục tình trạng khiếm khuyết của răng, giúp khách hàng ăn nhai tốt hơn. Vậy quy trình này được diễn ra như thế nào. Hãy cùng Tulip theo dõi bài viết sau nhé!
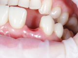
MẤT RĂNG GÂY RA NHỮNG TÁC HẠI GÌ?
Hậu quả của việc mất răng lâu ngày quả thật ảnh hưởng không nhỏ đến sức khỏe, vì vậy các bạn nên nhanh chóng đến nha khoa để được phục hồi răng càng sớm càng tốt.








