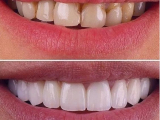
NHỮNG TRƯỜNG HỢP NÀO NÊN BỌC RĂNG SỨ
Bọc răng sứ là một trong những phương pháp phục hình răng miệng hàng đầu hiện nay được nhiều bệnh nhân cũng như bác sĩ lựa chọn nhằm khắc phục tình trạng răng miệng cũng như các khuyết điểm. Hãy cùng tham khảo các trường hợp nên bọc sứ.
TÌM HIỂU VỀ RĂNG TOÀN SỨ NACERA
Răng sứ Nacera là dòng răng sứ cao có xuất xứ từ Đức với nhiều ưu điểm vượt trội về độ cứng, độ bền, thẩm mỹ cao, tuổi thọ lâu dài nên được rất nhiều khách hàng lựa chọn phục hình hiện nay.
TÁC HẠI CỦA MẤT RĂNG VÀ PHƯƠNG PHÁP ĐIỀU TRỊ.
Tác hại của việc mất răng lâu ngày quả thật ảnh hưởng không nhỏ đến sức khỏe, vì vậy các bạn nên nhanh chóng đến nha khoa để được phục hồi răng càng sớm càng tốt.
RĂNG MÓM VÀ PHƯƠNG PHÁP ĐIỀU TRỊ
Răng móm là thuật ngữ nha khoa được dùng để mô tả sự sai lệch khớp cắn giữa răng ở hàm trên và hàm dưới khi ngậm miệng. Dưới đây là một số thông tin cơ bản về tình trạng này và phương pháp khắc phục.
TÌM HIỂU VỀ HÔ HÀM VÀ HÔ RĂNG
Răng hô là một khiếm khuyết của hàm răng có thể xảy ra ở trạng thái hô hàm và hô răng gây mất cân đối hai hàm, làm giảm thẩm mỹ khuôn mặt. Vậy cụ thể thì hô hàm và hô răng là gì? hãy cùng nha khoa Tulip giải đáp về các tình trạng răng hô nhé!
NHỮNG LƯU Ý TRƯỚC VÀ SAU KHI NHỔ RĂNG
Nhổ răng sẽ có nhiều ảnh hưởng đến sức khỏe của bạn, bởi vậy bạn cần phải nắm được những lưu ý sau khi nhổ răng khôn để chăm sóc tốt cho bản thân
CHĂM SÓC RĂNG MIỆNG NHƯ THẾ NÀO CHO ĐÚNG?
Sức khỏe răng miệng phản ánh các tình trạng của răng, nướu và khoang miệng. Chăm sóc sức khỏe răng miệng đúng cách sẽ ngăn ngừa các bệnh về nướu, giúp bảo vệ sức khoẻ và mang lại sự tự tin.
TIÊU XƯƠNG RĂNG-NGUYÊN NHÂN VÀ CÁCH KHẮC PHỤC
Tiêu xương răng là một bệnh lý khá nguy hiểm. Tham khảo ngay bài viết để tìm hiểu nguyên nhân gây bệnh và cách điều trị.
TÌM HIỂU VỀ RĂNG SỮA
Tuy đây chỉ là những chiếc răng tạm thời nhưng răng sữa vẫn có vai trò đặc biệt quan trọng đối với sức khỏe răng miệng của các bạn nhỏ
LÀM RĂNG SỨ SAU BAO LÂU THÌ HẾT Ê BUỐT?
Làm răng sứ sau bao lâu thì hết ê buốt? Đây là điều khiến nhiều người còn ngần ngại chưa dám thực hiện bọc sứ. Vậy bọc sứ sau bao lâu sẽ hết ê buốt răng? Và nên làm gì khi bị ê buốt răng sau khi bọc sứ? Mời bạn tham khảo bài viết sau đây.








