NHỮNG TRƯỜNG HỢP CẦN ĐIỀU TRỊ TỦY RĂNG
Điều trị tủy là một quy trình lấy sạch tủy răng bị tổn thương, trám kín lại ống chứa tủy và phục hồi răng, tránh tình trạng phải nhổ bỏ răng. Tủy răng được xem như “trái tim” nuôi dưỡng răng khỏe mạnh, vì vậy khi tủy răng gặp bất kỳ vấn đề gì cũng cần được thăm khám và điều trị ngay.
NHỮNG ĐIỀU BẠN CẦN BIẾT TRƯỚC VÀ SAU KHI TẨY TRẮNG RĂNG
Tẩy trắng răng là phương pháp giúp thay đổi và cải thiện màu sắc răng, thường được áp dụng trong những trường hợp răng xỉn màu, ố vàng, răng không đều màu. Đây là một liệu pháp được rất nhiều người ưa chuộng.
SÂU RĂNG - NGUYÊN NHÂN VÀ PHƯƠNG PHÁP ĐIỀU TRỊ
Ở Việt Nam hiện nay 90% người dân mắc bệnh về răng miệng, chủ yếu là sâu răng. Nguyên nhân gây sâu răng đa phần là do cách chăm sóc răng miệng không tốt, tạo điều kiện cho các vi khuẩn phát triển, tấn công bề mặt và cấu trúc răng. Cách chữa trị sâu răng như thế nào chúng ta cùng tìm hiểu nhé.
VÔI RĂNG LÀ GÌ? KHI NÀO NÊN CẠO VÔI RĂNG
Cạo vôi răng là phương pháp sử dụng dụng cụ chuyên dụng để làm sạch cao răng (vôi răng) và mảng bám tích tụ ở thân răng, gốc răng. Phương pháp này được khuyến cáo thực hiện 2 lần/ năm để bảo vệ sức khỏe răng miệng và phòng ngừa các bệnh lý nha khoa.
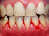
TỤT NƯỚU - NGUYÊN NHÂN VÀ CÁCH ĐIỀU TRỊ TỤT NƯỚU
Tụt nướu là tình trạng chân răng bị lộ do nướu đang bị co lại hoặc do sự di chuyển của lợi về phía chóp chân răng. Khi đó các mô quanh chân răng tiêu dần đi và lộ ngà răng. Người bị tụt lợi thường xuyên gặp phải cảm giác ê buốt, dễ mắc thức ăn ở kẽ răng, mòn chân răng và tăng nguy cơ mắc các bệnh lý nguy hiểm khác.
NÊN BỌC RĂNG SỨ TRONG NHỮNG TRƯỜNG HỢP NÀO
Bọc răng sứ là một trong những phương pháp phục hình răng miệng hàng đầu hiện nay được nhiều bệnh nhân cũng như bác sĩ lựa chọn nhằm khắc phục tình trạng răng miệng cũng như các khuyết điểm. Hãy cùng tham khảo các trường hợp nên bọc sứ.
MẤT RĂNG BỌC SỨ ĐƯỢC KHÔNG?
Mất răng có bọc răng sứ được không? Nếu như bạn đang mất răng và tìm kiếm một giải pháp phù hợp nhanh chóng thì bạn không nên bỏ qua thông tin sau.
TÌM HIỂU VỀ RĂNG TOÀN SỨ TẠI NHA KHOA TULIP
Răng toàn sứ đang được đánh giá cao vì sở hữu nhiều ưu điểm vượt trội như: màu sắc trắng như răng thật, lành tính với cơ thể và tuổi thọ sử dụng cao. Vì vậy có rất nhiều người tin dùng
RĂNG TOÀN SỨ NACERA CÓ TỐT KHÔNG
Răng sứ Nacera là dòng răng sứ cao có xuất xứ từ Đức với nhiều ưu điểm vượt trội về độ cứng, độ bền, thẩm mỹ cao, tuổi thọ lâu dài nên được rất nhiều khách hàng lựa chọn phục hình hiện nay.
CÓ NHỮNG PHƯƠNG PHÁP TẨY TRẮNG RĂNG NÀO?
Hiện nay tại các nha khoa dịch vụ tẩy trắng răng đang được ưa chuộng. Vậy tẩy trắng răng là gì? Có những phương pháp nào hãy cũng nha khoa Tulip cùng tìm hiểu qua bài viết sau nhé!








