MEN RĂNG LÀ GÌ? LÀM SAO ĐỂ BẢO VỆ TỐT MEN RĂNG
Men răng là lớp bảo vệ răng phía ngoài cùng. Khi lớp này bị mất đi, bạn sẽ cảm thấy đau buốt và ê răng mỗi khi uống nước lạnh hoặc ăn đồ nóng. Chưa kể, mất men răng còn khiến răng ố vàng, mất thẩm mỹ.
NHỮNG ĐIỀU CẦN LƯU Ý KHI ĐANG MỌC RĂNG KHÔN
Răng khôn là răng như thế nào ? Răng khôn (còn gọi là răng số 8, răng hàm lớn thứ ba) là răng mọc cuối cùng của hàm khi các răng khác đã ổn định vị trí đầy đủ.
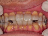
VIÊM NƯỚU - NGUYÊN NHÂN, TRIỆU CHỨNG, CÁCH ĐIỀU TRỊ
Bị viêm nướu gây ra những khó khăn trong cuộc sống đối với nhiều người, vì thế chúng ta hãy cùng nhau tìm hiểu về cách trị viêm nướu răng hiệu quả tại nhà nhé
NHỮNG LƯU Ý KHI NIỀNG RĂNG TRONG SUỐT INVISALIGN
Hiện nay niềng răng là một phương pháp vô cùng an toàn giúp bạn có một hàm răng khỏe đẹp, trong đó niềng răng trong suốt Invisalign ngày càng được nhiều người lựa chọn bởi tính thẩm mỹ mà nó đem lại
SAU KHI NHỔ RĂNG NÊN VÀ KHÔNG NÊN ĂN NHỮNG GÌ?
Nhổ răng sẽ có nhiều ảnh hưởng đến sức khỏe của bạn, bởi vậy bạn cần phải nắm được những lưu ý sau khi nhổ răng khôn để chăm sóc tốt cho bản thân
NHỮNG ĐIỀU CẦN LƯU Ý TRƯỚC VÀ SAU KHI TRỒNG RĂNG IMPLANT
Trồng răng Implant là phương pháp khắc phục tình trạng mất răng hiệu quả nhất hiện nay, giúp phục hồi tính thẩm mỹ và sức khỏe ăn nhai, tuy nhiên cần lưu ý gì, cùng đi tìm hiểu nhé
RĂNG KHÔN LÀ GÌ? CÓ NÊN NHỔ RĂNG KHÔN KHÔNG
Răng khôn dường như không có tác dụng gì lại gây nhiều rắc rối khi mọc nên nhiều người cũng băn khoăn về răng khôn có nên nhổ không?
RĂNG KHÔN MỌC GÂY ĐAU NHỨC PHẢI LÀM SAO?
Mọc răng khôn là nỗi ám ảnh thường gặp ở nhiều người bởi ngay từ khi xuất hiện cho đến lúc trồi lên, răng khôn gây đau nhức, khó chịu cho khổ chủ.
9 CÁCH LÀM TRẮNG RĂNG TẠI NHÀ HIỆU QUẢ
Làm trắng răng tại nhà với các cách tẩy trắng răng tự nhiên. Chỉ mất vài phút để sở hữu nụ cười rạng rỡ với các cách làm trắng răng tại nhà.
NHỮNG ĐIỀU CẦN BIẾT VỀ TRÁM RĂNG THẨM MỸ
Trám răng thẩm mỹ là biện pháp phục hình răng được khá nhiều người lựa chọn. Đây là biện pháp đơn giản, ít tốn kém và đem lại kết quả trong thời gian ngắn.








