NGUYÊN NHÂN VÀ CÁCH KHẮC PHỤC TÌNH TRẠNG TRÁM RĂNG BỊ NHỨC
Nếu tình trạng trám răng bị nhức kéo dài sẽ khiến đời sống sinh hoạt của bạn gặp nhiều khó khăn như: ăn uống không ngon, ngủ không đủ giấc,… Từ đó, chất lượng cuộc sống và hiệu quả làm việc cũng giảm theo. Tuy nhiên, không phải trường hợp nhức răng nào do trám răng cũng là bất thường.
BỌC RĂNG SỨ CÓ ĂN UỐNG BÌNH THƯỜNG ĐƯỢC KHÔNG?
Kỹ thuật bọc sứ có sự xâm nhập và tác động lớn đến răng. Nên sau khi bọc răng sứ, răng sẽ trở nên nhạy cảm hơn. Vì thế, nhiều người thắc mắc rằng sau khi bọc răng sứ bao lâu thì ăn uống bình thường. Câu hỏi sẽ được giải đáp trong bài viết sau đây.
RĂNG SỨ KHI BỊ HƯ CÓ THAY MỚI ĐƯỢC KHÔNG
Do một số nguyên nhân khiến cho răng sứ sau khi thực hiện có thể gặp những vấn đề như bị nứt mẻ, vỡ, đổi màu hoặc viêm nhiễm, sưng đau, ê buốt… Lúc này, nhiều người thắc mắc liệu bọc răng sứ có thay được không? Hãy cùng Tulip tìm hiểu qua bài viết sau
GÃY RĂNG CÒN CHÂN RĂNG CÓ BỌC RĂNG SỨ ĐƯỢC KHÔNG?
Gãy răng còn chân răng do nhiều nguyên nhân gây ra. Khi gặp phải tình trạng này, nhiều người sẽ thắc mắc rằng có thể bọc sứ để cải thiện hay không. Vậy khi còn chân răng có bọc răng sứ được không sẽ được giải đáp ngay trong bài viết sau đây.
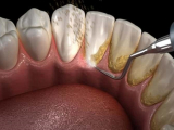
VÔI RĂNG VÀ NHỮNG TÁC HẠI ĐỐI VỚI RĂNG MIỆNG
Cao răng hay còn gọi vôi răng, đây là mảng bám quanh răng do quá trình vôi hóa các thức ăn còn sót lại bởi canxi phosphate có trong nước bọt.
CẦU RĂNG SỨ CHO RĂNG CỬA VÀ NHỮNG ĐIỀU CẦN LƯU
Răng cửa là những răng nằm ngay “mặt tiền”, giữ vai trò thẩm mỹ vô cùng quan trọng. Vì vậy, khi mất răng cửa, bệnh nhân luôn muốn tìm kiếm một phương án phục hình tối ưu nhất để đảm bảo thẩm mỹ nụ cười. Vậy nếu lựa chọn làm cầu răng sứ cho răng cửa có được không?
THÁO RĂNG SỨ CÓ ĐAU NHỨC KHÔNG?
Tháo răng sứ cũ thay mới là phương án được chỉ định trong nhiều trường hợp như: Thay mới răng sứ, răng sứ hết tuổi thọ, bọc sứ gặp biến chứng,…Vậy tháo răng sứ có đau không? Việc này hoàn toàn không gây ảnh hưởng đến sức khỏe và không gây đau nhức nếu được thực hiện bởi nha khoa uy tín.
NHỮNG TRƯỜNG HỢP KHÔNG NÊN BỌC RĂNG SỨ MÀ BẠN NÊN BIẾT
Răng quá nhạy cảm, răng bị lung lay,… là một trong những trường hợp không nên bọc răng sứ. Tuy nhiên hiện nay vẫn còn nhiều phương pháp để giải quyết tình trạng trên. Hãy cùng Nha khoa Tulip tìm hiểu ngay nhé.
THÁO RĂNG SỨ RA LÀM LẠI TRONG NHỮNG TRƯỜNG HỢP NÀO
Bọc răng sứ là kỹ thuật có tác động đến răng thật, nên có thể tiềm ẩn rủi ro nếu không được thực hiện bởi bác sĩ có tay nghề cao, cùng sự hỗ trợ của các thiết bị, máy móc chuyên dụng. Dẫn tới răng sứ dễ bị hư hại hoặc gây ra những bệnh lý răng miệng nguy hiểm. Nhiều trường hợp bác sĩ phải chỉ định tháo bỏ răng sứ và bọc răng sứ lần 2.
NGUYÊN NHÂN VÀ CÁCH KHẮC PHỤC TÌNH TRẠNG TỤT NƯỚU KHI BỌC SỨ
Một số trường hợp sau khi bọc răng sứ lại gặp phải biến chứng không mong muốn, điển hình là tình trạng bọc răng sứ bị tụt lợi, làm hở chân răng. Không chỉ khiến răng yếu đi mà còn gây mất thẩm mỹ khuôn mặt. Vậy nguyên nhân vì sao dẫn đến biến chứng này và biện pháp khắc phục như thế nào? Hãy cùng tìm hiểu trong bài viết sau đây.








