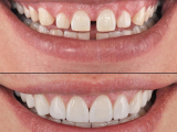
TẨY TRẮNG RĂNG CÓ LÀM RĂNG YẾU ĐI KHÔNG?
Tẩy trắng răng là phương pháp dùng thuốc tẩy trắng kết hợp với ánh sáng đèn laser hiện đại để loại bỏ các sắc tố gây vàng răng giúp răng trắng sáng, tuy nhiên tẩy trắng răng có làm răng yếu đi không?. Bài viết dưới đây của Nha Khoa Tulip sẽ giải đáp cho bạn vấn đề trên.
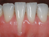
TỤT LỢI CÓ TỰ KHỎI HAY KHÔNG?
Tụt lợi làm chân răng lộ ra ngoài gây mất thẩm mỹ, làm răng bị ê buốt, khó chịu ảnh hưởng đến chất lượng cuộc sống. Vậy tụt lợi có tự khỏi không? Khi bị tụt lợi phải làm sao?. Các câu hỏi này sẽ được giải đáp ngay ở bài viết dưới đây.
RĂNG LUNG LAY CÓ GIỮ ĐƯỢC HAY KHÔNG?
Răng bị lung lay nếu xảy ra ở người trưởng thành là vấn đề không hề đơn giản, vì nếu răng bị rụng đi thì răng vĩnh viễn sẽ không thể mọc lại được. Vậy răng lung lay có giữ được không? Nguyên nhân và cách khắc phục như thế nào hiệu quả nhất, bài viết dưới đây sẽ giải đáp chi tiết vấn đề này.
SAU KHI BỌC RĂNG SỨ CÓ BỊ XUỐNG MÀU KHÔNG?
Bọc răng sứ giúp cải thiện tình trạng răng nhiễm màu, ố vàng,…Giúp hàm răng trở nên trắng sáng và đều đẹp hơn. Nhưng trong một số trường hợp răng sứ bị ngả vàng sau một thời gian sử dụng khiến khách hàng hoang mang và thắc mắc rằng: Bọc răng sứ có bị xuống màu không? răng sứ có bị ố vàng không? Câu trả lời sẽ được giải đáp trong bài viết sau đây.
TẨY TRẮNG RĂNG XONG CÓ ĐƯỢC ĐÁNH RĂNG KHÔNG?
Tẩy trắng răng là phương pháp giúp răng trắng hơn so với ban đầu mà không gây ra tổn hại nào lên bề mặt răng, giúp bạn tự tin hơn. Tuy nhiên, tẩy trắng răng xong có được đánh răng không?. Bài viết dưới đây sẽ giải đáp cho bạn chi tiết vấn đề này.
PHỤ NỮ MANG THAI CÓ TRÁM RĂNG ĐƯỢC KHÔNG?
Trong giai đoạn mang thai, lượng canxi trong cơ thể rất dễ bị suy giảm, từ đó làm tăng nguy cơ mắc các bệnh răng miệng ở mẹ bầu. Răng sâu và gây đau nhức, khó chịu khiến nhiều chị em muốn điều trị dứt điểm nhưng lại băn khoăn có bầu trám răng được không? Qua thắc mắc trên, hãy cùng chúng tôi tìm hiểu qua bài viết dưới đây
PHỤC HÌNH RĂNG SỨ CHO RĂNG MỌC THƯA AN TOÀN VÀ HIỆU QUẢ
Để khắc phục tình trạng răng thưa có nhiều phương pháp, trong đó trồng răng sứ là cách được nhiều người lựa chọn. Phương pháp trồng răng sứ sẽ giúp mang lại vẻ đẹp mới cho hàm răng của bạn.
RĂNG SỨ NACERA LÀ GÌ? CÁC ƯU ĐIỂM CỦA RĂNG SỨ NACERA
Răng sứ nacera dòng răng sứ thẩm mỹ có xuất xứ từ Đức. Thuộc loại răng sứ toàn sứ và được các bác sĩ nha khoa khuyên dùng bởi chất lượng vô cùng vượt trội. Đây được xem là vật liệu răng sứ tiên tiến nhất hiện nay được ứng dụng vào phục hình răng sứ thẩm mỹ. Cùng Nha Khoa Tulip tìm hiểu kỹ hơn nhé
CÁCH VỆ SINH VẾT NHỔ RĂNG KHÔN ĐỂ MAU LÀNH
Hầu hết chúng ta ai cũng sẽ phải nhổ răng khôn, sau khi nhổ sẽ để lại lỗ hổng và đây chính là vấn đề mà nhiều người khá thắc mắc về việc vệ sinh. Bài viết sau đây sẽ hướng dẫn bạn cách vệ sinh lỗ răng khôn sau khi nhổ nhé.
BỌC RĂNG SỨ CHO RĂNG KHẤP KHỂNH
Răng khấp khểnh, lệch lạc là tình trạng rất phổ biến và điều này có thể khiến nhiều người cảm thấy tự ti về bản thân khi cười hoặc nói chuyện trước đám đông. Do đó mà nhiều bệnh nhân tìm đến nha khoa lựa chọn phương pháp bọc răng sứ để khắc phục. Vậy thực tế bọc răng sứ cho răng khấp khểnh được không? Ưu nhược điểm của phương pháp này là gì?








