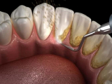
TIỀM HIỂU VỀ BỆNH VIÊM NHA CHU
Viêm nha chu là một bệnh nhiễm trùng nướu nghiêm trọng, làm tổn thương mô mềm và phá hủy xương xung quanh răng, có thể khiến răng lung lay và dẫn đến mất răng.
MẤT RĂNG BAO LÂU THÌ BỊ TIÊU XƯƠNG HÀM
Tiêu xương hàm là một trong số các biến chứng thường gặp khi bị mất răng. Làm ảnh hưởng đến vẻ đẹp của khuôn mặt và chức năng ăn nhai. Vậy mất răng bao lâu thì bị tiêu xương hàm, nguyên nhân gây nên tiêu xương hàm. Hãy cùng nha khoa Tulip tham khảo ngay bài viết này nhé
LÀM CẦU RĂNG SỨ CÓ BỀN KHÔNG?
Cầu răng sứ là kỹ thuật phục hình răng mất bằng cách dùng răng kế cận làm trụ nâng đỡ. Vậy khi nào nên làm cầu răng sứ
NHỮNG TRƯỜNG HỢP CẦN LOẠI BỎ RĂNG KHÔN
Đối với nhiều người việc mọc răng khôn thật sự rất khủng khiếp với những cơn đau ê ẩm cản trở việc ăn uống và sinh hoạt hằng ngày.
RĂNG CHẾT TỦY: DẤU HIỆU VÀ CÁCH ĐIỀU TRỊ
Răng bị chết tủy là một trong những tình trạng răng miệng, cần phải điều trị nha khoa. Bài viết sau đây sẽ cung cấp tới bạn đọc những thông tin hữu ích về tình trạng này.
5 DÒNG RĂNG TOÀN SỨ TỐT HIỆN NAY
Răng sứ thẩm mỹ có rất nhiều dòng với chất lượng và giá thành khác nhau.
TRÁM RĂNG THẨM MỸ LÀ GÌ? KHI NÀO NÊN TRÁM RĂNG
Trám răng thẩm mỹ là một trong những kỹ thuật nha khoa giúp phục hồi lại hình dạng và chức năng ăn nhai hiệu quả.
IMPLANT BỊ ĐÀO THẢI: NGUYÊN NHÂN VÀ CÁCH KHẮC PHỤC
Vì một số lý do mà răng implant sau khi trồng bị đào thải khỏi cơ thể. Vậy nguyên nhân là gì? Phải làm sao khi răng implant bị đào thải?
NHỮNG LƯU Ý KHI NHỔ RĂNG SỮA CHO BÉ
Có rất nhiều bậc phụ huynh xem nhẹ việc nhổ răng sữa cho bé, tuy nhiên họ không biết rằng chính sự lơ là đó lại gây ra nhiều hậu quả nguy hiểm cho con.
TÌM HIỂU VỀ NIỀNG RĂNG TRAINER
Niềng răng trainer là một trong những phương pháp niềng răng được sử dụng phổ biến ở trẻ. Vậy niềng răng trainer là gì? Hãy cùng nha khoa Tulip tìm hiểu về niềng răng trainer nhé!








