HEALING TRONG IMPLANT LÀ GÌ? VAI TRÒ CỦA HEALING TRONG IMPLANT
Healing trong Implant là một trong hai loại khớp nối cơ bản của Abutment, được dùng trong giai đoạn lành thương khi trồng răng Implant.
BỌC RĂNG SỨ CÓ UỐNG CÀ PHÊ ĐƯỢC KHÔNG?
Bọc răng sứ có uống cà phê được không? Nếu bọc các loại răng sứ có chất liệu chống mài mòn và khả năng kháng màu thực phẩm thì có thể uống được nhưng cần hạn chế.
TRỒNG RĂNG IMPLANT NÊN ĂN GÌ VÀ KIÊNG ĂN GÌ?
Trồng răng Implant nên ăn gì và kiêng ăn gì? Chế độ ăn uống khoa học sẽ giúp bạn đẩy nhanh quá trình lành thương và tích hợp xương sau khi cấy ghép.
VAI TRÒ CỦA MÁNG CHỐNG NGHIẾN RĂNG
Máng chống nghiến răng là một biện pháp ứng dụng điều trị tình trạng nghiến răng khi ngủ chủ yếu hiện nay. Hãy cùng chúng tôi tìm hiểu về công dụng của máng chống nghiến răng khi ngủ nhé
CÓ NÊN ĐÁNH BÓNG RĂNG
Đánh bóng răng là gì? Đánh bóng răng có lợi ích gì? Chúng ta hãy cùng tìm hiểu kỹ lưỡng hơn về phương pháp chăm sóc răng này qua bài viết dưới đây.
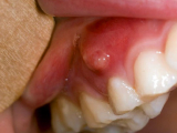
NƯỚU RĂNG BỊ SƯNG: NGUYÊN NHÂN VÀ CÁCH ĐIỀU TRỊ
Sưng nướu răng có mủ là tình trạng viêm nhiễm nướu ở gia đoạn nặng, có nguy cơ nhiễm trùng gây nguy hiểm cho người bệnh. Tìm hiểu ngay!
CÁCH TRỊ NHIỆT MIỆNG HIỆU QUẢ TẠI NHÀ
Nhiệt miệng, có thể nói là tình trạng gây cảm giác khó chịu. Cùng Tulip tim hiểu cách trị nhiệt miệng nhanh nhất qua bài viết dưới đây nhé!
Ở #TULIP CÓ CÁCH GIÚP BẠN HÔ BIẾN HÀM RĂNG "KÉM XINH" TRỞ NÊN TRẮNG SÁNG - ĐỀU ĐẸP - TỰ NHIÊN .
Ở #TULIP CÓ CÁCH GIÚP BẠN HÔ BIẾN HÀM RĂNG "KÉM XINH" TRỞ NÊN TRẮNG SÁNG - ĐỀU ĐẸP - TỰ NHIÊN . Răng Sứ Cao Cấp Chuẩn Đức Sale Off 50%. Chỉ duy nhất 5 suất dành cho 5 khách hàng đăng ký sớm nhất
BẠN ĐÃ ĐÁNH RĂNG ĐÚNG CÁCH CHƯA ?
Đầu tiên bạn nên súc miệng bằng nước, khoảng 30 giây để loại trừ những thứ bám trên răng. Sử dụng chỉ nha khoa làm sạch qua răng trước khi đánh. Rửa sạch bàn chải dưới vòi nước, sau đó lấy lượng kem đánh răng vừa đủ
️7 TRƯỜNG HỢP NÊN BỌC SỨ ĐỂ XINH HƠN
️7 TRƯỜNG HỢP NÊN BỌC SỨ ĐỂ XINH HƠN. Ngày nay, nhu cầu làm đẹp nói chung và thẩm mỹ răng ngày càng tăng cao giúp bạn thay đổi diện mạo, tự tin hơn trong cuộc sống. Phương pháp #Thẩm_mỹ_răng_sứ ra đời và được nhiều người lựa chọn để thay đổi các khiếm khuyết của răng giúp bạn sở hữu hàm răng trắng sáng, đều đẹp và bảo vệ răng thật chắc








